Traitements Endovasculaires de la Dysfonction Érectile

Techniques innovantes et mini-invasives pour traiter la dysfonction érectile d'origine vasculaire. Réalisées sous contrôle radiologique précis par une équipe experte.

Dr Grégoire CAZALAS, 23/02/2025

Qu'est-ce que la dysfonction érectile ?

La dysfonction érectile (DE) est l'incapacité persistante à obtenir ou maintenir une érection suffisante pour un rapport sexuel satisfaisant. Ce problème touche des millions d'hommes à travers le monde et peut avoir un impact significatif sur la qualité de vie.

Causes de la dysfonction érectile

La DE peut avoir diverses causes, notamment :

  • Problèmes vasculaires (réduction du flux sanguin vers le pénis ou perte de continence veineuse)
  • Diabète
  • Hypertension artérielle
  • Hypercholestérolémie
  • Tabagisme et mode de vie sédentaire
  • Facteurs psychologiques

Qu'est-ce qu'un traitement endovasculaire ?

Les traitements endovasculaires de la dysfonction érectile sont des procédures peu invasives visant à améliorer le flux sanguin vers le pénis. Ces traitements utilisent des techniques d'angioplastie et de stenting ou d'embolisation pour restaurer une circulation adéquate dans les artères péniennes.

Comment fonctionne le traitement endovasculaire ?

Évaluation médicale :

Un radiologue spécialisé effectue une échographie pour identifier les obstructions artérielles. Cette échographie est réalisée après une injection intra pénienne indolore dans le but d'obtenir une érection.

Bloc de radiologie interventionnelle - Équipement moderne pour actes mini-invasifs

Angiographie :

Une imagerie des vaisseaux sanguins est réalisée pour localiser les rétrécissements ou la fuite sanguine.

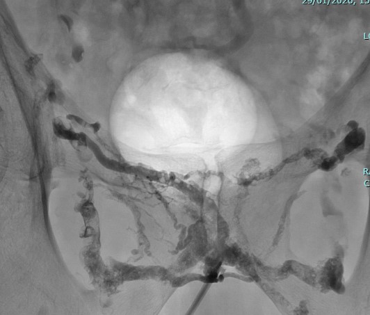
En cas de fuite veineuse :

Angiographie de bilan par voie veineuse du petit bassin
Angiographie de contrôle après injection de Glubran et Lipiodol

Embolisation de celle-ci : de la colle biologique est injectée pour boucher la fuite.

En cas de sténose artérielle :

Angioplastie : Un ballonnet est inséré et gonflé pour élargir l'artère.

Si sténose artérielle peut se discuter également la pose d'un stent (si nécessaire) : Un petit tube métallique est placé pour maintenir l'artère ouverte et améliorer le flux sanguin.

Avantages des traitements endovasculaires

  • Procédure mini-invasive

    Pas d'incision

  • Récupération rapide

    Retour aux activités normales en quelques jours

  • Alternative aux médicaments

    Utile pour les patients ne répondant pas aux traitements classiques

  • Résultats durables

    Amélioration significative de la fonction érectile chez de nombreux patients

Qui peut bénéficier de ce traitement ?

Ce traitement est recommandé aux hommes présentant une dysfonction érectile d'origine vasculaire, notamment ceux souffrant d'athérosclérose ou de troubles circulatoires.

Risques et effets secondaires

Comme toute procédure médicale, les traitements endovasculaires comportent certains risques :

  • Légères douleurs ou ecchymoses au point d'insertion
  • Possibilité de resténose (rétrécissement de l'artère traitée)

Consultation et prise en charge

Si vous souffrez de dysfonction érectile et souhaitez explorer les options de traitement endovasculaire, consultez un radiologue vasculaire spécialisé. Un bilan personnalisé pourra déterminer si cette approche serait adaptée dans votre cas.

Conclusion

Les traitements endovasculaires représentent une avancée majeure pour les hommes souffrant de dysfonction érectile d'origine vasculaire. Grâce à cette approche innovante, il est possible d'améliorer significativement la fonction érectile et la qualité de vie.

Questions fréquentes

Ce traitement est-il douloureux ?

Non, il est réalisé sous anesthésie locale et est généralement bien toléré.

Combien de temps dure l'intervention ?

Environ 1 à 2 heures, avec une sortie possible le jour même ou le lendemain.

Peut-on reprendre une activité sexuelle rapidement ?

Oui, généralement après quelques jours de récupération.

Le traitement est-il pris en charge par l'assurance ?

Oui, le traitement est généralement pris en charge par l'assurance maladie et votre mutuelle.

Prêt à prendre rendez-vous ?

Contactez-nous pour discuter de votre situation et planifier votre consultation

Prendre rendez-vous