Embolisation d'arthrose du genou

Technique mini-invasive sûre et efficace pour traiter les douleurs chroniques du genou liées à l'arthrose. Réalisée sous contrôle radiologique précis par une équipe experte.

De quoi s'agit-il ?

L'embolisation des artères géniculées est une procédure mini-invasive réalisée par les radiologues interventionnels pour traiter les douleurs chroniques du genou. Cette technique consiste à occlure les artères géniculées (artères alimentant la région du genou) afin de réduire l'irrigation sanguine vers la zone touchée pour diminuer l'inflammation et soulager la douleur.

Elle est principalement utilisée pour traiter l'arthrose du genou, en particulier dans les cas où la douleur est mal contrôlée par d'autres traitements.

Qu'est-ce que l'arthrose du genou ?

Il s'agit de la dégradation du cartilage de l'articulation qui peut entraîner des douleurs et une inflammation dans la région du genou. Certaines arthroses peuvent passer par des phases de gonflement (épanchement articulaire), et d'inflammation des tissus autour de l'articulation (synovite). À l'heure actuelle, aucun traitement ne permet de réparer de manière efficace le cartilage abîmé du genou.

Parmi les traitements de l'arthrose, il faut distinguer les traitements antalgiques, la kinésithérapie et la chirurgie. Le traitement le plus efficace reste la mise en place d'une prothèse totale de genou par un chirurgien orthopédique mais avec des risques opératoires et une durée de vie limitée des prothèses.

L'embolisation correspond à un nouveau traitement, encore en évaluation, qui va pouvoir permettre de diminuer les symptômes et les douleurs, en agissant sur l'inflammation. Il ne peut en aucun cas se substituer à une chirurgie lorsque celle-ci est absolument nécessaire.

Qui peut bénéficier d'une embolisation ?

  • Les patients atteints d'épanchement hémorragique récidivant (hémarthrose).

  • Les patients jeunes symptomatiques, dans l'attente d'une prothèse.

  • Les rares cas de douleurs résiduelles malgré la pose d'une prothèse totale de genou.

  • Les patients atteints d'arthrose douloureuse, contre-indiquée à la chirurgie.

Comment faire le diagnostic ?

Le diagnostic repose sur un examen clinique détaillé et des examens d'imagerie :

  • La radiographie du genou
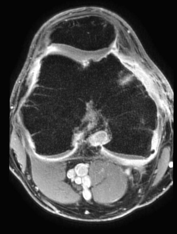
  • IRM : Cet examen permet d'évaluer l'état des structures osseuses et articulaires du genou, et de détecter des signes d'arthrose ou d'inflammation. Plus précise que les radiographies, elle peut détecter des signes de synovite lorsqu'elle est réalisée après injection.
IRM du genou avec injection

Comment se déroule l'embolisation ?

L'embolisation des artères géniculées est réalisée sous anesthésie locale ou légère sédation. La procédure se déroule généralement en ambulatoire, ce qui signifie que le patient peut rentrer chez lui le jour même après l'intervention. Voici les principales étapes de l'embolisation :

Bloc de radiologie interventionnelle - Équipement moderne pour actes mini-invasifs
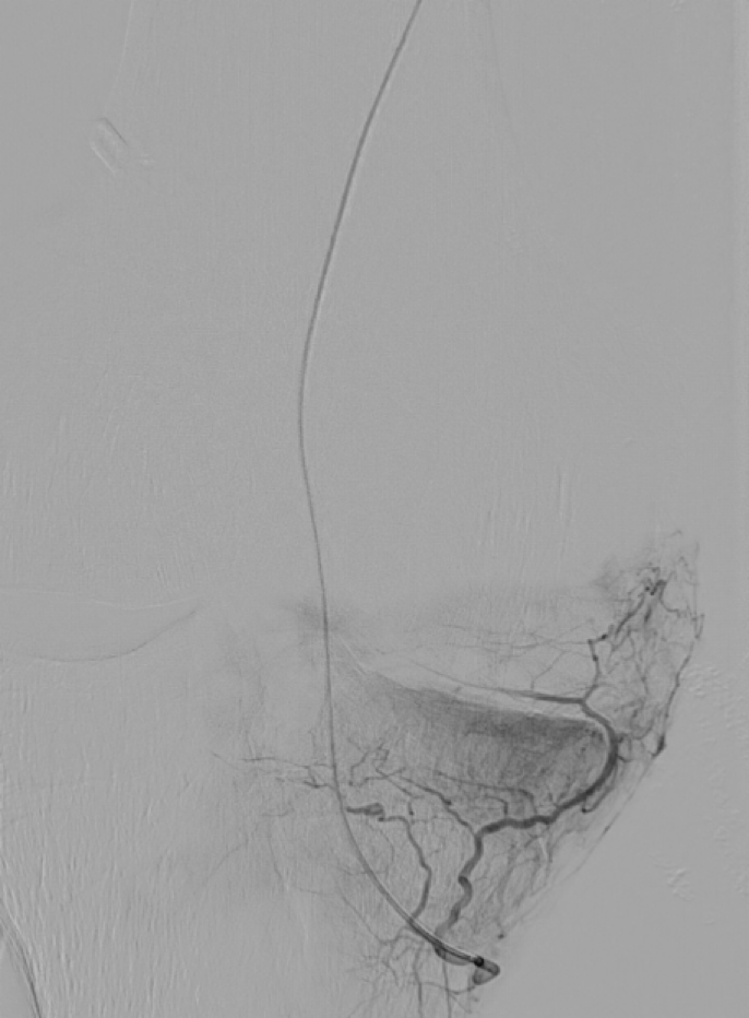
  1. Accès vasculaire : Un cathéter est inséré au niveau de l'artère fémorale, au niveau de l'aine.
  2. Navigation dans les artères : Le cathéter est guidé sous contrôle radiologique (souvent par fluoroscopie) jusqu'aux artères géniculées du genou.
  3. Angiographie : Un produit de contraste est injecté pour obtenir des images détaillées des artères du genou et déterminer précisément les zones inflammatoires à emboliser.
  4. Embolisation : Une fois que le cathéter est placé correctement, un matériel d'embolisation résorbable (comme un mélange de produit de contraste ou des micro particules) sont injectés pour obstruer les artères ciblées, réduisant ainsi le flux sanguin vers la zone douloureuse.
Artériographie fémorale superficielle Artériographie supra sélective de l'artère géniculée inféro-médiale

Pourquoi réaliser une embolisation ?

L'embolisation des artères géniculées est indiquée chez les patients souffrant d'arthrose modérée à sévère pour lesquels les traitements conventionnels, tels que les anti-inflammatoires, infiltrations, ou la kinésithérapie, ne sont plus efficaces. C'est également une alternative pour ceux qui souhaitent éviter ou repousser une chirurgie comme une prothèse articulaire. Les patients doivent avoir une articulation encore fonctionnelle, car cette technique vise à préserver les structures articulaires et améliorer la mobilité.

Risques et effets secondaires

Bien que l'embolisation soit une procédure relativement sûre, elle comporte certains risques, notamment :

  • Infection : Un risque d'infection est possible au niveau du site d'insertion du cathéter, bien que rare.
  • Hématome : Des ecchymoses peuvent apparaître là où le cathéter a été inséré.
  • Douleur post-procédurale : Un inconfort temporaire ou une douleur légère peut persister après la procédure.
  • Effet secondaire du matériel d'embolisation : Rarement, une réaction allergique aux matériaux utilisés pour l'embolisation peut survenir.
  • Des ulcérations ou rougeurs cutanées transitoires : Lorsqu'elles surviennent, elles guérissent spontanément dans la majorité des cas.
  • Récidive des symptômes : Bien que l'embolisation soit efficace, des symptômes résiduels ou récidivants peuvent survenir dans certains cas.

Suites post-opératoires

Après l'embolisation des artères géniculées :

  • Un suivi est recommandé avec un contrôle radiologique après quelques mois pour évaluer l'efficacité de la procédure.
  • Un retour aux activités légères est possible dans les jours suivant l'intervention.
  • Il est conseillé d'éviter les efforts physiques intenses pendant 2 semaines.
  • Un arrêt de travail temporaire peut être prescrit.

Prêt à prendre rendez-vous ?

Contactez-nous pour discuter de votre situation et planifier votre consultation

Prendre rendez-vous

Centre Aquitain d'Imagerie : 05 35 54 13 11 – secretariat.ri@lecai.fr

Ce type d'intervention sera prise en charge par l'assurance maladie et votre mutuelle.